Before & After Cosmetic Dentistry Photography

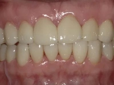
Treatment: Full mouth reconstruction.
22 crowns and veneers in total

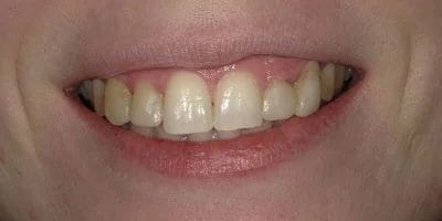
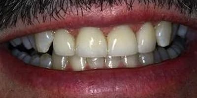
Before

After

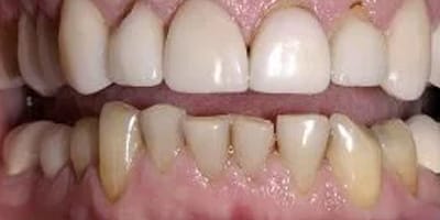
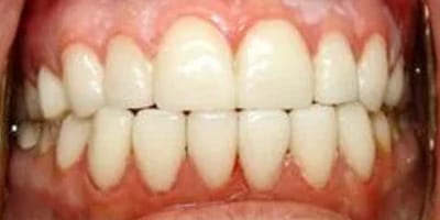
Treatment: 10 veneers on upper teeth

Before

After

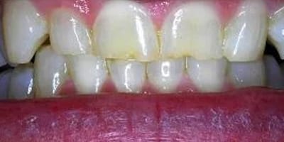
Treatment: Bleaching, gingivectomy (gum contouring), and veneers

Before

After

Other Treatments

Before

After

Before

After

Before

After

Before

After

Severely discolored teeth with fractures and decay leading to discomfort, sensitivity, and not being able to smile.

Before

After

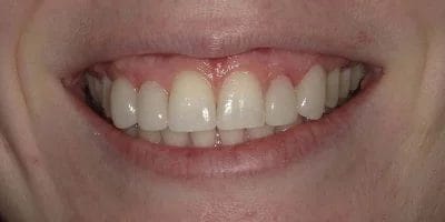
Uneven teeth, smile line, and gum line with broken old restorations. Teeth restored to have smile that is youthful.

Before

After

Fractured misshaped teeth.

Before

After

Severely worn teeth with fractures, bite that is not aligned properly limiting function of masticatory forces (chewing). Teeth restored to ideal height, shape, and size for function as well as esthetic.

Before

After